Посёлок Тёткино в Глушковском районе сегодня обстреляли со стороны Украины - Роман Старовойт В результате 5 прилётов осколками повреждены крыши, окна и фасады в 4 домовладениях. Пострадавших нет, сообщил губернатор. // Новости Херсонщины
Новости за 31.08.2023
Уважаемые жители г. Каховка!Мы обращаемся к Вам с важной информацией относительно текущей ситуации с водоснабжением в нашем городе. Дамба Каховской ГЭС была подорвана вооруженными формированиями Украины, в результате этого мы сталкиваемся с постоянным...
Новые кадры для промышленности регионаПодписан меморандума о сотрудничестве между Министерством промышленности и торговли Херсонской области и Херсонским Техническим Университетом. Это важный шаг в развитии нашего региона и...
Министр экономического развития Херсонской области поучаствовал в совещании по льготному лизингуВ формате видео-конференц связи прошло совещание на тему возможности льготного лизинга техники и оборудования для субъектов малого и...
В Новокаховском городском округе работают общественные приемныеЗа период работы с 1 по 31 августа 2023 года включительно в отделениях сектора общественной приемной было принято и обработано 7 150 заявлений (обращений, заявлений...
Кабардино-Балкария к 1 сентября завершила капитальный ремонт медицинских кабинетов в Скадовской школе №1 Благодаря шефской помощи Кабардино-Балкарии в начале лета этого года была определена проектная стоимость ремонта, доставлены строительные...
«У некоторых муниципалитетов данный план составлен и выполняется частично, а ряд муниципальных образований не решили поставленную задачу вовсе. Главам этих администраций будут объявлены выговоры. Взыскания, однако, не будут применены в отношении...
Хроника денацификации по состоянию на 31.08.2023Наша редакция продолжает отслеживать процесс денацификации и демилитаризации Украины. Итак, на сегодня результаты таковы:На Купянском направлении денацифицировано до 50 нацистов.Проведена...
А на том берегу...Сегодня в Комишанах запустили систему для очистки воды.Она контейнерного типа, передвижная, утепленная, сообщает Херсонская ГВА.Внутри размещена система фильтрации, которая позволяет производить забор воды из любого наземного водоема...
Адыгея завершила строительство МФЦ в ГеническеПроводится государственная экспертиза объекта. Продолжается обустройство прилегающей территории.Ранее были оборудованы пешеходные зоны, установлен фонтан. Сейчас идет установка детской игровой...
30 000 школьников из Луганской и Донецкой Народной Республик, Запорожской и Херсонской областей получили школьные наборыУже завтра первоклассники из новых регионов пойдут на торжественную линейку с рюкзаками от Движения Первых.Сбор...
Русская армия нанесла крупные потери ВСУ в Херсонской областиПресс-служба Министерства обороны России сообщила о сегодняшнем успешном обстреле позиций ВСУ на Херсонском направлении. Киев потерял до 20-ти боевиков убитыми, а также лишился двух...
Новые сорта зерновых культур испытали в экспериментальном опытном хозяйстве "Асканийское"Из-за прорыва Каховской ГЭС оросительная система Херсонской области осталась без воды. Поэтому, было принято решение на экспериментальном...
«Нужно поднимать медицину в селе», — акушер-гинеколог Горностаевской больницы об участии в программе «Земский доктор/Земский фельдшер»Акушер-гинеколог Владимир Курочка из династии врачей. Родился в Донецке. Через несколько лет...
Танкисты затрофеили вражескую бронемашинуБуксируют бронеавтомобиль врага в тыловой район.Всё актуальное здесь:@NSDVKhersone#насамомделе #насамомделевхерсоне #херсон #khersonНаш канал | Наш чат | Наш бот
ВС РФ нанесли удар по ДРГ в районе Антоновского мостаПо данным «Иди и и смотри», украинский десант вновь пытается высадиться в Херсонской области в районе Антоновского моста.«Российская артиллерия нанесла массированный удар по ВСУ», — рассказал...
Алешкинский округ практически полностью восстановили после катастрофы на Каховской ГЭС. Об этом сообщил глава Алешкинской ВГА Херсонской области Георгий Журавко. «Практически все последствия ЧС ликвидированы, остались мелочи, которые мы...
Участники акции «Азовский путь» возложили цветы к памятнику в Мелитополе Смотрите За!ТВ ВКонтакте и в Telegram
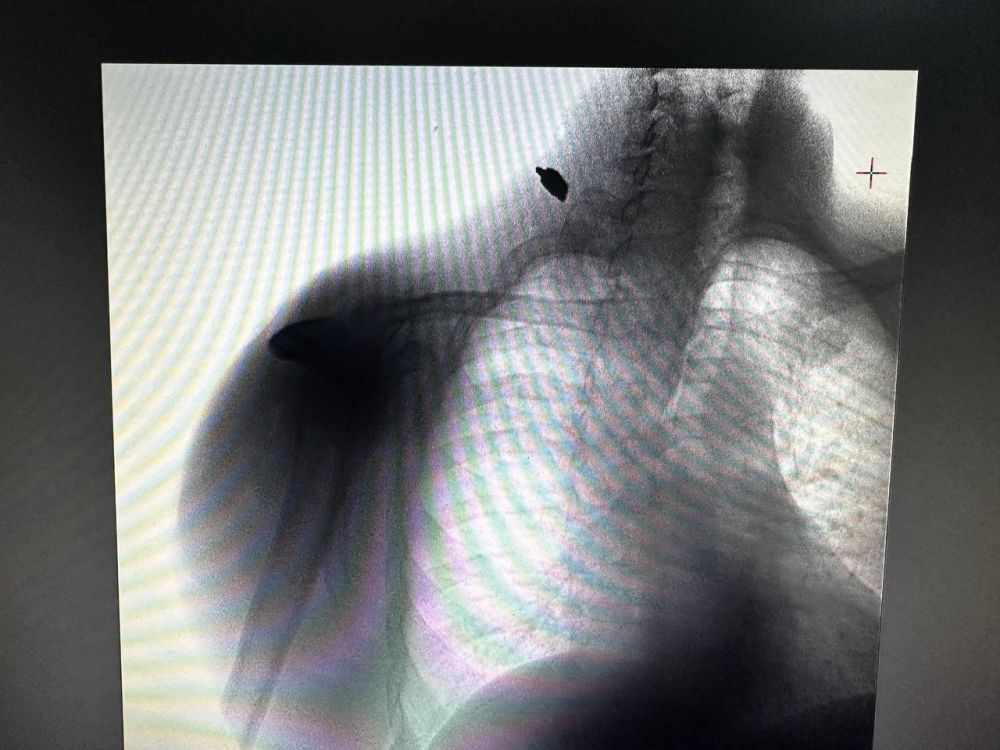
Врачи ФМБА спасли пациента с осколочным ранением — травму получил житель Великой Лепетихи после киевского обстрелаВ Нижнесерогозскую ЦРБ доставили мужчину, пострадавшего после обстрела населенного пункта боевиками ВСУ. Врачи сводного отряда...


















