ФСБ уничтожила украинского диверсанта, прибывшего из Литвы в Россию для совершения терактов на военных объектах, сообщили в спецслужбе // Российский Рубеж " Za нашу Победу "
Новости за 03.05.2024
Передали 2 квадрокоптера в доставку на Херсонское направление из рук в руки.Будем держать кулачки за мужчин. Удачной охоты и возвращения всем домой здоровыми.Спасибо добрые люди
По выставке трофейной техники на Поклонной приходят интересные новости.По каналам неформальной коммуникации выясняется, что немцы с самого начала не горели желанием передавать «Леопарды» Украине, т.к., велики риски, что танки будут вывернуты...
В Чугуеве предварительно поражен ж/д состав в момент разгрузки. Эффективность уточняем // lpr 1
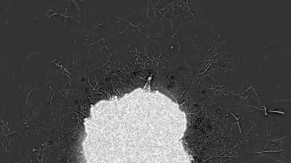
Сумская область, н.п. Новая СлободаАрмия России продолжает выявлять и уничтожать важные стратегические объекты противника.На кадрах момент уничтожения «Гиацинтом» источника связи ВСУ, с возможной встроенной системой подавления РЭБ.Управление Z
"Ночной кошмар 2.0"Наши гвардейцы групп воздушной разведки помогают нашим подразделения в продвижение вперед, колеча и убивая пехоту противника.телеграм-канал Херсонский Вестник
Председатель правительства Херсонской области Андрей Алексеенко в свом телеграмм рассказал о двух новых больших спорткомплекса в Новоалексеевке и Чкалово, которые строятся с опережением графика. Хотя по контракту их сдача в декабре, строители из...
В рамках подготовки к турниру Объединенного чемпионата по футболу "Содружество" U-17 в Нижних Серогозах на стадионе "Скиф"состоялся турнир по футболу среди юношей, приуроченный к Дню Победы.В турнире принимали участие...
Олимпийский огонь по улицам Парижа понесет трансвестит на 25-сантиметровых каблуках.Об этом мэрия французской столицы сообщила на своей официальной странице в соцсетиИспаааааанский стыд
Более 10 тысяч книг отправили участники Всемирного фестиваля молодежи в новые регионы"Книги были отправлены в библиотеки учебных заведений новых регионов, которым очень не хватает изданий на русском языке. Они пополнили фонды...
Участники Всемирного фестиваля молодежи отправили более 10 тыс. книг в новые регионы Более 10 тыс. изданий, которые были собраны участниками Всемирного фестиваля молодежи, передали в библиотеки учебных заведений ЛНР, Запорожской и Херсонской...
Ученики Горьковской школы присоединились к военно - патриотической акции "Письмо солдату"В преддверии праздника 9 Мая ученики Горьковской школы Каланчакского муниципального округа приняли участие...
Конкурс детских рисунков!!!В Новокаховском городском округе проходит конкурс рисунков «Символ Победы моими глазами», посвященный 9 Мая.Конкурс проводится для детей 6-16 лет. Работы выполняются на листе формата А4 и в любой технике: акварель...
В Совфеде предложили ввести налоговый вычет на гуманитарную помощь новым регионам "Законопроектом предлагается установить возможность получения социального налогового вычета за покупку товаров в целях оказания гуманитарной помощи новым регионам РФ", —...
С начала года российские войска взяли под контроль 547 квадратных километров территории новых регионов, сообщил министр обороны России"Киевский режим ужесточает мобилизацию. Украинцев, не желающих воевать, принудительно отправляют на...
Сотрудники Херсонской областной универсальной научной библиотеки приняли эстафету от коллег и стали представителями на стенде нашего региона в связи с продлением выставки-форума «Россия».Посетители выставки могут познакомиться с богатством и...
Примерно так проходит высадка тех, кто всё-таки выжил в пути. На подходах к берегу, противника встретили огнём. Враг сумел выйти на землю, но пройти дальше к посёлку мы им уже не позволили.Архангел Спецназа.Всё актуальное...
Казачью удаль показали в Скадовском конном клубеНасыщенная и увлекательная программа прошла к Первомаю в Скадовском конном клубе. Здесь занимается 44 воспитанника. Опекает заведение ГКУ ДО «Херсонский авиационно-технический спортивный клуб».На...
За порчу георгиевской ленты будут штрафовать За публичную порчу символа воинской славы в России предусмотрены штрафы до 5 миллионов рублей или даже лишение свободы до пяти лет.«Мы призываем носить георгиевскую ленту с уважением. Лучшее место для нее —...
Рабочая группа СВО в очередном докладе Президенту предложила передавать изъятое огнестрельное оружие, подлежащее утилизации войсками национальной гвардии, на нужды СВОВ частности, члены рабочей рабочей группы по спецоперации предлагают...














